Anal Cancer

Anal cancer is rare–much less common than cancer of the colon or rectum. The American Cancer Society estimates for anal cancer in the United States for 2024 are:

  • About 10,540 new cases (3,360 in men and 7,180 in women)
  • About 2,190 deaths (1,000 in menand 1,190 in women)
  • The risk of anal cancer in the general population is about 1.7 cases per 100,000 people.
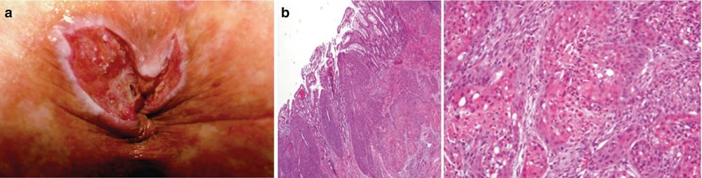
repview.jpg
 

Fig 20.3 ASCRS Textbook of Colon and Rectal Surgery - Squamous cell cancer of anus

POPULATIONS AT ELEVATED RISK

The risk of anal cancer is much higher in several populations, including people with HIV, men whohave sex with men (MSM), solid organ transplant recipients and women with a history of vulvarcancer or precancer. These groups all have at least atentimes increased rate of anal cancer, withsome groups being even higher, such as MSM with HIV.Other elevated risk groups include people with a history of vaginal or cervical pre-cancer or cancer,people with a history of anal warts, persistent (>1 year) high risk subtype HPV infection andpatientswith autoimmune conditions or requiring immunosuppressive medications.The number of new anal cancer cases has been rising for many years. Anal cancer is rare in people younger than 35 and is found mainly in older adults, with an average age being in the early 60s. It isalso more common in White women and Black men. Prevention and screening of high-risk populations are key parts in decreasing the rates of analcancer and effectively treating the disease when it occurs.A recent study (ANCHOR) shows that treatment of precancerous lesions in high-risk populations will decrease the risk of anal cancer in the future.

SCREENING

There are several screening methods used, especially in high-risk patient populations (see above). Screening methods will be limited to availability of certain procedures in any given region, but youshould ask your provider for a referral to the screening and treatment options that best fit your needs.

  • Regular examination–Any patient with a history of anal and genital warts should have a regular examination for recurrence. The timing of examination will be based on each individualcase, but any warts or dysplasia that recur should be closely watched and treated. An examinationshould include visual inspection, digitalrectal examination (feeling inside the anus with a finger for any abnormality) and anoscopy (looking into the anus with a lighted scope) for patients with ahistory of anal disease.It is important for patients with genital HPV infection to also have an analexamination sincethe virus spreads through direct contact and is aided by bodily fluids.
  • Anal cytology–This is the same testing as a Pap smear in a gynecology exam. A moist swabis inserted into the anus (or isself-insertedin some clinics) andrandom cells are captured andexamined under a microscope. If there are abnormal cells present, more testing may be recommended. The swab can also be tested for the presence of the HPV virus. They are not aperfect test and can have falseresults buthavea role in the screening ofhigh-riskpatients.
  • High resolution anoscopy (HRA)–This is a procedure like colposcopy in a gynecology exam. This examination is usually done in the office and is tolerated well by most patients.The anal canalis stained with swabs using a small plasticanoscope andthe anal canal and surrounding skin isexamined with a special microscope. Biopsies of abnormal areas can be doneto determine if thereare precancerous changes. A recent study (ANCHOR) showed that examination with HRA inhigh-riskpatients, and treatment ofhigh-gradedysplasia (HSIL) led to decreased rates of anal cancer

PREVENTION

Although few cancers are totally preventable, avoiding risk factors and getting regular checkups are important. Using condoms may reduce, but not get rid of the risk of HPV infection. HPV vaccines (for those ages 9 to 26) have been shown to not only lower the risk of HPV infection, but also reduce the risk of anal cancer in men and women. People at increased risk should talk to their physicians about getting an anal cancer screening. During this test, your physician swabs the anal lining, looking at the cells under a microscope for anything unusual. Other forms of screening include looking closely at the area during a surgery, or in the office with a special scope to look in the anal canal. Early identification and treatment of precancerous areas may help prevent anal cancer. 

IANS (International Anal Neoplasia Society) CONSENSUS GUIDELINES FOR ANAL CANCER SCREENING

These guidelines are based on an increased risk by a factor of ten (10 times more likely to develop anal cancer over the general populations at the listed ages)

  • 35 years of age - men who have sex with men (MSM) and transgender women (TW) with HIV infection
  • 45 years of age–HIV + patients (non-MSM/TW) and MSM and TW without HIV infection
  • Solid organ transplant recipients–screening should begin 10 years post transplantation
  • History of vulvar pre-cancer or cancer–screening starts within one year of diagnosis

TREATMENT of ANAL WARTS

External warts can be treated by applying medications or by surgical removal. Topical medicinesarenotrecommended for use inside of the anus, so surgery for internal anal warts is required.

Medications for treatment of internal warts can either be chemicals that:

  • Destroy the wart tissue (trichloracetic acid or podophyllin)
  • Freeze the warts (liquid nitrogen)
  • Help the immune system attack the warts (veregen, imiquimod)
Surgery: There are several ways to surgically remove warts, either in the office or the operatingroom:
  • Destruction with electrical energy
  • Surgical excision with scissors or a scalpel
  • Laser destruction
If there are a large number of warts covering wide areas of the skin around the anus or the analcanal, then surgery may be necessary in several stages to prevent scarring of the anus. Warts may come back repeatedly after successful removal. This happens because the HPV virusstays inactive fora periodin body tissues. When warts come back, they can usually be treated at your surgeon's office. If a largenumberof new warts develop quickly, surgery may be necessary again.

TREATMENT OF ANAL DYSPLASIA

Anal dysplasia can either be external or internal. Similar to the treatment of warts, both topicalmedications and surgical excision or destruction of the precancerous tissue are options.

External use of immune boosting medications such as imiquimod andveregen can be used, and atopical chemotherapy agent such as Efudex (5FU) can also applied to treat external dysplasia.

Destruction of internal dysplasia, often using HRA (high resolution anoscopy) can be performedwith cautery, using an electric current to destroy focused areas of precancerous tissue. This can bedone in the office or the operating room, depending on the extent of the disease.

Careful surveillance ofhigh-gradedysplasia is needed due to a high recurrence rate, andredevelopment of dysplasia over time due to chronic HPV infection.

TREATMENT OF ANAL CANCER

When anal cancer develops, it must be diagnosed with a biopsy (taking a piece of tissue forexamination). Once there is a definite diagnosis, then studies are performed to decide the stageand to determine if the cancer has any distant spread to other parts of the body. Common imaging studies include ultrasounds, CT scans,MRIs, and PET scans.
Early-stage cancers (without spreading to lymph nodes and distant organs) havea high success rate for treatment. Even tumors with local spread can respond to treatment with a high percentage of long-term survival. Patients with an increased risk of anal cancer or with a known HPV infection history should get regular exams so that any cancer that develops is caught early when treatment is most successful.Treatment of anal cancer includes:
  • Local excision by surgery (for smaller tumors that do not involve the sphincter muscle or that can be removed with clear margins)
  • Chemotherapy and radiation (Nigro protocol)
  • Surgical removal of the rectum and anus with colostomy (for recurrent cancer or for acancer that does not respond to chemotherapy and radiation)

POST-TREATMENT

Most anal cancers are cured with chemotherapy and radiation. If caught early, many cancers that come back after nonsurgical treatment are treated effectively with surgery. While combination radiation/chemotherapy produces more side effects, this approach also results in the best long-term survival rates. After completing this treatment, as many as 70-90% of patients are still alive and cancer free at 5 years.

Regular follow-up with a careful exam by your colon and rectal surgeon is important. During theappointment, he or she will assess the results of treatment andcheck to see if there are any newsigns of anal cancer.

WHAT IS A COLON AND RECTAL SURGEON?

Colon and rectal surgeons are experts in the surgical and non-surgical treatment of diseases of the colon, rectum and anus. They have completed advanced surgical training in the treatment of these diseases as well as full general surgical training. Board-certified colon and rectal surgeons complete residencies in general surgery and colon and rectal surgery, and pass intensive examinations conducted by the American Board of Surgery and the American Board of Colon and Rectal Surgery. They are well-versed in the treatment of both benign and malignant diseases of the colon, rectum and anus and are able to perform routine screening examinations and surgically treat conditions if indicated to do so.

DISCLAIMER

The American Society of Colon and Rectal Surgeons is dedicated to ensuring high-quality patient care by advancing the science, prevention and management of disorders and diseases of the colon, rectum and anus. These brochures are inclusive but not prescriptive. 
Their purpose is to provide information on diseases and processes, rather than dictate a specific form of treatment. They are intended for the use of all practitioners, health care workers and patients who desire information about the management of the conditions addressed. It should be recognized that these brochures should not be deemed inclusive of all proper methods of care or exclusive of methods of care reasonably directed to obtain the same results. The ultimate judgment regarding the propriety of any specific procedure must be made by the physician in light of all the circumstances presented by the individual patient. 



Filter by Language:

ANAL ABSCESS AND FISTULA An anal abscess is an infected cavity filled with pus near the anus or rectum.  An anal fistula (also called fistula-in-ano) is a small tunnel that tracks from an opening inside the anal canal to an outside opening in the skin near the anus. ...
WHAT IS AN ANAL ABSCESS OR FISTULA? An anal abscess is an infected cavity filled with pus found near the anus or rectum.  Ninety percent of abscesses are the result of an acute infection in the internal glands of the anus. Occasionally, bacteria, fecal material or foreig...
Anal cancer is rare–much less common than cancer of the colon or rectum. The American Cancer Society estimates for anal cancer in the United States for 2024 are: About 10,540 new cases (3,360 in men and 7,180 in women) About 2,190 deaths (1,000 in menand 1,190 in women...
The anal canal is a short tube surrounded by muscle at the end of your rectum. The rectum is the bottom section of your colon (large intestine). An anal fissure is a small rip or tear in the lining of the anal canal. Fissures are common, but are often confused with other ...
  WHAT IS AN ANAL FISSURE? An anal fissure is a small tear in skin that lines the opening of the anus. Fissures typically cause severe pain and bleeding with bowel movements.  Fissures are quite common in the general population, but are often confused with other causes ...
Anal pain can occur before, during, or after a bowel movement. It can range from a mild ache that can get worse over time to pain that is bad enough to restrict daily activities. Anal pain has many causes, most of which are common and treatable. However, if anal pain does not...
WHAT ARE ANAL WARTS? Anal warts are caused by HPV infection and are raised growths on the skin and inside of the anus. They can be small or large and cover significant areas of the skin and anal canal. They can be painless but can also cause itching, pain, bleeding, or disch...
Colorectal Cancer Risk Colorectal cancer—cancer of the colon and rectum—is the second leading cancer killer in the United States affecting both men and women.  Your risk increases as you age.  Some people are at even higher risk depending on their personal or family history....
WHY IS IT SO IMPORTANT? Colorectal cancer — cancer of the colon and rectum — is the second leading cause of cancer-related deaths in the United States. It surpasses both breast cancer and prostate cancer in mortality when both men and women are combined. The general populati...
WHY SHOULD THERE BE A POSTOPERATIVE FOLLOW-UP PROGRAM? Surgery is a highly effective treatment for colorectal cancer. But even when all visible cancer has been removed, it is possible that small clusters of cancer cells may be present in other areas of the body. These ca...
Following treatment for either colon or rectal cancer, ongoing follow-up to detect recurrent disease is considered an important part of patient care for colorectal cancer. Colorectal cancer follow-up refers to a systematic approach to monitoring patients for new or recurr...
Colorectal cancer is preventable and highly curable if detected in early stages. The colon and rectum make up your large intestine. Colorectal cancers usually begin as a growth on the inner lining of the large intestine  FACTS AND STATS In 2020, an estimated number of 1...
Colon cancer is a common malignancy in the United States. The treatment of patients with colon cancer can be complicated and may require a team of surgical and medical specialists. This review provides general information for patients and their families, covering colon ca...
There are many myths surrounding colon cancer, and the following information helps to set the record straight. If you are concerned about colon cancer, or if you have a strong family history of colorectal cancer, you should ask your doctor if you need to see a colorectal ...
  WHAT IS COLONOSCOPY? Colonoscopy is an effective procedure to diagnose abnormalities of the large intestine and to screen for colorectal cancer and colorectal polyps. A colonoscope is a long, thin flexible instrument that provides magnified views of the colon and rectum...
WHAT IS CONSTIPATION Constipation is a common complaint and usually simple to prevent and easy to treat when it occurs. In some cases, constipation may reflect a more serious problem that will require the help of your medical provider to suggest tests, medical interventi...
  Constipation is a very common complaint affecting upwards of 15% of all Americans.  Fortunately, constipation is usually is easy to avoid and easy to treat when it occurs. Occasionally, symptoms of constipation may be a sign of a more serious problem requiring medical ...
Overview Crohn’s disease is an incurable inflammatory disorder that can affect any part of the gastrointestinal tract. The gastrointestinal tract is a system of body organs responsible for carrying and digesting food, absorbing nutrients, and getting rid of waste. Inflam...
OVERVIEW Crohn's disease is a chronic inflammatory disease of unknown origin potentially affecting all parts of the gastrointestinal tract. While medical management of the disease is often the first choice, surgery may be indicated for specific reasons. Crohn's disease m...
Diverticular disease is the general name for a common condition that involves small bulges or sacs called diverticula that form from the wall of the large intestine (colon). Although these sacs can form  throughout the colon, they are most commonly found in the sigmoid c...
OVERVIEW The purpose of this education piece is to provide information on the background, causes, and treatments of diverticular disease and its complications. This information is  intended for a general audience. Diverticular disease most commonly affects adults and may...
  Enhanced recovery after surgery, known as ERAS is a multimodal approach to surgical care that has been shown to improve recovery after surgery, especially in patients undergoing colorectal surgical bowel resections. Patients typically experience less pain, faster reco...
WHAT IS FECAL INCONTINENCE? Fecal incontinence (also called anal or bowel incontinence) is the impaired ability to control the passage of gas or stool. This is a common problem, but often not discussed due to embarrassment. Failure to seek treatment can result in social ...
OVERVIEW The purpose of this patient education piece is to provide providers, patients and their families with information on the background, causes, and treatments of fecal incontinence.   WHAT IS FECAL INCONTINENCE? Fecal incontinence is the impaired ability to contr...
Colorectal Cancer Awareness Month March is Colorectal Cancer Awareness Month, and it is a great time to learn more about colorectal cancer. Here are some of the most frequently asked questions, and please ask your healthcare provider if you have additional questions.  What ...
Often described as "varicose veins of the anus and rectum,” hemorrhoids are enlarged, bulging blood vessels in and around the anus and lower rectum. The rectum is the bottom section of your colon (large intestine). The tissues supporting the vessels stretch. As a result, ...
WHAT ARE HEMORRHOIDS? It is important to note that all people have hemorrhoidal tissue as part of their normal anatomy. Only in a minority of people do hemorrhoids become enlarged or otherwise symptomatic. Hemorrhoidal tissue lies within the anal canal and perianal area ...
THE ROLE OF GENETICS This summary is intended for anyone wishing to learn more about hereditary colorectal cancer syndromes and genetic testing for these syndromes. This summary should help you understand:  The definition of a syndrome and specific examples of heredita...
WHAT IS HPV? The human papillomavirus (HPV) is a group of over 150 related viruses that cause the most common sexually transmitted infection (STI) in the world. These viruses cause anal and genital warts and have the potential to lead to precancerous changes to the affec...
Irritable bowel syndrome (IBS) is a common disorder, affecting an estimated 15% of the population. It is one of the several conditions known as functional gastrointestinal disorders. This means the bowel may function abnormally, but tests are normal and there are no detec...
Irritable bowel syndrome (IBS) is a common disorder affecting over 15 percent of the population. The following information has been prepared to help patients and their families understand IBS, including the symptoms, causes, evaluation, and treatment options. IBS is one ...
Laparoscopic or “minimally invasive” surgery is a specialized technique for performing surgery. In the past, this technique was commonly used for gynecologic surgery and for gall bladder surgery. Over the last 10 years the use of this technique has expanded into intestinal s...
  OVERVIEW There are a variety of diseases and conditions of the colon and rectum for which surgery is recommended.  In addition to the decision to undergo surgery, patients are often faced with a choice of traditional or minimally invasive surgical techniques.  In orde...
Obstructed Defecation Syndrome (ODS)
OVERVIEW An ostomy is a surgically created opening between an internal organ and the body surface. Ostomies are often created as a part of intestinal surgery when there must be a new way for intestinal waste to leave the body.  This information was prepared to help patie...
  Pelvic floor dysfunction is a group of disorders that change the way people have bowel movements and sometimes cause pelvic pain. These disorders can be embarrassing to discuss, may be hard to diagnosis and often have a negative effect on quality of life.  This informa...
Pilonidal disease is a chronic skin infection in the crease of the buttocks near the coccyx (tailbone). It affects about 70,000 people in the US annually and is more common in men than women. Most often it occurs between puberty and age 40. People who are overweight and w...
Colorectal polyps are commonly found during standard screening exams of the colon (large intestine) and rectum (the bottom section of your colon). They affect about 20% to 30% of American adults. Polyps are abnormal growths that start in the inner lining of the colon or rec...
Pruritis ani is a common medical problem affecting both men and women. This information was composed to help patients understand pruritis ani, its symptoms, evaluation, and treatment options.  This information may also be helpful to individuals or caregivers of patients w...
Pruritis ani means “itchy anus” in Latin. This condition causes irritation of the skin near the anus, resulting in a strong urge to scratch the area. In many cases, no specific problem is found to explain the itching. These cases are called “idiopathic” (from unknown caus...
WHAT IS RECTAL CANCER? The rectum is the last six inches of the large intestine which is composed of the colon and rectum. Colon and rectal cancers both arise from the inner lining. Despite the similarities, colon and rectal cancers are treated differently due to differenc...
WHAT IS RECTAL PROLAPSE? Rectal prolapse is a condition in which the rectum (the last part of the large intestine before it exits the anus) loses its normal attachments inside the body, allowing it to telescope out through the anus, thereby turning it “inside out.” While thi...
WHAT IS RECTAL PROLAPSE? Rectal prolapse is a condition in which the rectum (the last part of the large intestine before it exits the anus) loses its normal attachments inside the body, allowing it to telescope out through the anus, thereby turning it “inside out.” While thi...
A rectocele is a bulging of the front wall of the rectum into the back wall of the vagina that may interfere with emptying of stool from the rectum. The rectum is the bottom section of your colon (large intestine). The vagina and the rectum can be thought of as two muscular t...
WHAT IS A RECTOCELE? A rectocele is a herniation (bulge) of the front wall of the rectum into the back wall of the vagina. The tissue between the rectum and the vagina is known as the rectovaginal septum and this structure can become thin and weak over time, resulting in a r...
OVERVIEW Colorectal cancer is a common malignancy for both men and women.  Screening for colorectal cancer is the process of identifying apparently healthy people who may be at increased risk of developing this disease. This information was prepared to help patients unde...
WHAT IS THE RISK OF COLORECTAL CANCER? Colorectal cancer is the third most common non-skin cancer, affecting men and women of all ethnic groups. Over 140,000 people will be diagnosed with colorectal cancer each year and more than 50,000 will die; the lifetime risk is 1 i...
Colorectal cancer — cancer of the colon and rectum — is the second leading cancer killer in the United States and all women and men aged 45 and older are at increased risk. The good news is that colorectal cancer is preventable and, if detected early, curable.    Dependin...
Get regular colorectal cancer screenings beginning at age 45.* If you have a personal or family history of colorectal cancer or colorectal polyps, or a personal history of another cancer or inflammatory bowel disease, talk to your doctor about earlier screening. Eat plen...
Screening tests for colorectal cancer can save 30,000 lives each year. These tests not only detect colorectal cancer early, but can prevent colorectal cancer. In one test, non-cancerous polyps are removed before they become cancer. When you turn 45* years of age you should ha...
WHAT IS THE COLON? The colon is also known as the large bowel or large intestine. It is an organ that is part of the digestive system (also called the digestive tract) in the human body. The digestive system is the group of organs that allow us to eat and to use the food we ...
WHAT IS ULCERATIVE COLITIS? Ulcerative colitis (UC) is an inflammatory disease affecting the large bowel (colon and rectum). In UC, the inflammation is confined to the internal lining of the intestinal wall (mucosa). Medical management is typically the first option for t...